We are proud to serve our community and are committed to making a positive impact on the oral health of our patients.






Welcome to our office! Our dentists and team are looking forward to caring for you and your smile. We understand just how closely connected oral health is to your overall health, confidence, and appearance, and we pride ourselves on cultivating a friendly, upbeat dental environment where you can always feel comfortable in our care.
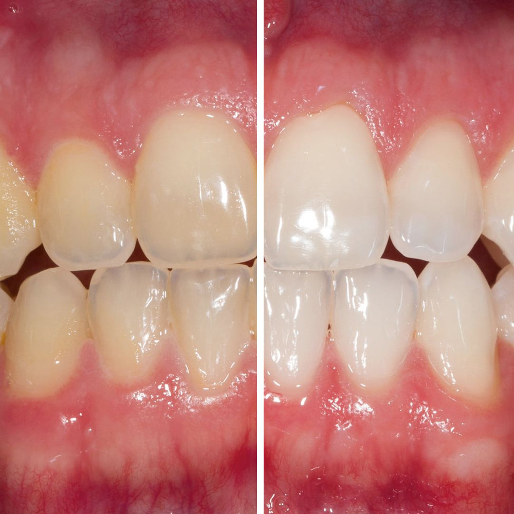
Our skilled doctors use advanced techniques to provide comfortable dental treatments with little to no pain.
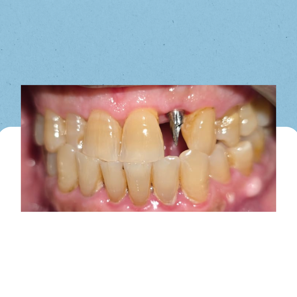
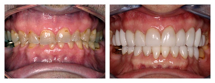
Every dental specialty, advanced care, and expert treatment — all in one modern clinic.
Our doctors are constantly improving their skills by participating in international medical conferences and quality improvement courses.
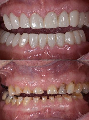
EXCELLENT Based on 1 reviews Posted on Nabeel WaheedTrustindex verifies that the original source of the review is Google. I had an great experience with my dental implant treatment at this clinic. From the initial consultation to the final procedure, everything was handled with great professionalism and care. I must appreciate the housekeeping of clinic, clean well-organized, and equipped with impressive equipments, which immediately builds confidence in the quality of treatment. Dr. Talha is highly knowledgeable, skilled, and very patient. I am much satisfied with the results and would strongly recommend this clinic to anyone looking for safe, high-quality dental implant treatment








WhatsApp us